Cost of Full Mouth Dental Implants in Houston, TX
Replacing an entire arch or full set of teeth is a major decision, and one of the first questions most patients ask is about cost. The cost of full mouth dental implants in Houston can vary significantly depending on your oral health, the number of arches being treated, the type of restoration used, whether extractions or bone grafting are needed, and the complexity of your case.
At Houston Dental Implants and Prosthodontics, every treatment plan is customized. That means there is no one-size-fits-all fee for full mouth dental implants. Instead, we evaluate your needs carefully and provide a clear, personalized recommendation based on the type of result you want and the treatment required to achieve it.
If you are researching the cost of full mouth dental implants in Houston, this guide will help you understand what affects pricing and what to expect during the planning process.

What Are Full Mouth Dental Implants?
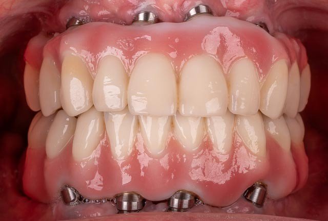
Full mouth dental implants are designed to replace most or all missing teeth in the upper arch, lower arch, or both. Rather than using removable dentures alone, implant treatment uses strategically placed dental implants to support a more stable, secure, and long-lasting restoration.
Depending on your case, full arch treatment may involve:
- All-on-4 dental implants
- implant-supported dentures
- fixed full-arch bridges
- upper arch replacement
- lower arch replacement
- full mouth reconstruction with implants
For many patients, this type of treatment offers important benefits in comfort, chewing ability, confidence, and overall quality of life.
To learn more about treatment options, visit our page on All-on-4 dental implants in Houston.
How Much Do Full Mouth Dental Implants Cost in Houston?
The cost of full mouth dental implants in Houston varies because every patient starts from a different place. Some patients need treatment for one arch, while others need both arches restored. Some require extractions, bone reduction, or additional procedures before the implants and final prosthesis can be completed.
In general, the final cost depends on the number of implants used, the type of temporary and final restoration, the materials selected, the condition of the jawbone, and the overall complexity of treatment.
The best way to determine cost is with a consultation, exam, imaging, and treatment planning process that takes your anatomy, goals, and restorative needs into account.
Why the Cost Can Vary So Much
Many patients are surprised that pricing for full mouth implants can differ from one case to another. That is because full-arch implant treatment is not a single product. It is a comprehensive restorative process that may include surgery, prosthetic design, lab fabrication, temporaries, and long-term planning.
Factors that affect cost include:
- whether one arch or both arches are being treated
- the number of implants needed
- extractions of failing teeth
- bone grafting or other preparatory procedures
- whether immediate teeth are placed
- the design of the temporary prosthesis
- the material used for the final prosthesis
- complexity of bite reconstruction
- esthetic demands and smile design considerations
- maintenance and follow-up needs
A patient with significant wear, bite collapse, or long-term tooth loss may need more comprehensive planning than someone with a simpler full-arch case.
One Arch vs Two Arches
One of the biggest cost differences is whether treatment is being done for a single arch or for both the upper and lower arches.
One arch treatment
If only the upper or lower teeth are being replaced, the cost will usually be lower than a dual-arch case because fewer implants, fewer restorations, and less surgical and prosthetic work are involved.
Two arch treatment
If both arches need treatment, the case becomes more complex. Dual-arch implant treatment often involves more extensive bite planning, additional restorative work, and more detailed coordination to create a stable and esthetic final result.
What Is Usually Included in Full Mouth Implant Treatment?
Although every office structures treatment differently, full mouth implant treatment often includes several phases rather than one single fee.
Depending on the case, treatment may include:
- consultation and examination
- diagnostic imaging and treatment planning
- extractions if needed
- placement of dental implants
- temporary prosthesis (our office provides 2)
- healing and integration period
- design and fabrication of the final restoration
- delivery of the final prosthesis
- follow-up adjustments and maintenance guidance
It is important to understand exactly what is included in your treatment plan so you can compare options accurately.

Materials Matter
The material used for the final prosthesis can affect the overall cost of treatment. Some patients receive acrylic-based provisional or final restorations, while others choose stronger, more premium materials such as zirconia for the final prosthesis.
The right material depends on:
- your bite forces
- esthetic goals
- long-term expectations
- budget
- functional needs
Material selection is not just about appearance. It also affects durability, wear characteristics, and the overall design of the restoration.
Why Expertise Matters in Full Mouth Implant Cases
When patients compare cost, it is important to look beyond the number alone. Full mouth implant treatment is not just a surgical procedure. It is also a highly detailed prosthetic and restorative process involving smile design, bite stability, function, esthetics, and long-term maintenance.
A prosthodontist has advanced specialty training in complex restorative treatment, implant restorations, and full-mouth rehabilitation. That level of planning can make a major difference in how the final result looks, feels, and functions.
For many patients, value is not simply about finding the lowest price. It is about choosing the treatment approach and clinical team most likely to deliver a stable, natural, long-lasting result.
Are Full Mouth Dental Implants Worth It?
For many patients, yes. Full mouth dental implants may offer major advantages over removable dentures, including improved stability, stronger chewing ability, better comfort, and a more natural-feeling restoration.
Patients often choose this treatment because they want:
- a more secure smile
- better day-to-day function
- a long-term replacement option
- greater confidence when eating and speaking
- a fixed alternative to removable dentures
While the initial investment is greater than traditional dentures, many patients see the value in the improved function, comfort, and confidence that implant-supported treatment can provide.
Full Mouth Dental Implants vs Dentures Cost
Traditional dentures usually cost less upfront than full mouth dental implants. However, dentures and implant treatment are very different solutions.
Dentures are removable and may need relines, repairs, adhesives, and periodic replacement over time. Full mouth dental implants involve a higher initial investment, but they may provide more stability, stronger function, and greater long-term satisfaction for patients seeking a fixed solution.
If you are comparing options, you may also want to read our page on All-on-4 vs dentures.
Can Insurance Help Cover the Cost?
Insurance coverage varies widely depending on your plan and the type of treatment being recommended. Some plans may contribute toward portions of treatment, while others may provide limited or no implant-related benefits.
Our office can help review available benefits and explain what may or may not be covered. Many patients also explore financing options to make treatment more manageable.
Financing Options
Because full mouth implant treatment is a significant investment, financing can be an important part of the conversation. Flexible payment options can help patients move forward with treatment that may otherwise feel out of reach.
During your consultation, we can discuss payment and financing options and help you understand the full scope of your treatment plan.
Why a Personalized Consultation Matters
Online cost estimates can only provide general information. They cannot account for your anatomy, oral health, existing teeth, bone levels, bite relationship, smile goals, or restorative needs.
A personalized consultation is the best way to understand:
- whether you are a candidate
- which type of full-arch implant treatment is appropriate
- whether one or both arches need treatment
- what procedures may be required
- what your total investment may look like
That level of clarity is essential when making a major decision about your smile and oral health.
What Patients in Houston Should Look for When Comparing Cost
If you are comparing full mouth dental implant treatment in Houston, make sure you ask:
- What exactly is included in the fee?
- Is this for one arch or two?
- Are temporaries included?
- What material is used for the final prosthesis?
- Are extractions or preparatory procedures included?
- Who is designing the bite and final restoration?
- What maintenance will be needed later?
These questions can help you compare treatment plans more accurately and avoid misunderstandings.
Schedule a Consultation for Full Mouth Dental Implants in Houston
If you are considering full mouth dental implants and want to better understand the cost, our team can help. At Houston Dental Implants and Prosthodontics, we evaluate your oral health, explain your options clearly, and develop a treatment plan tailored to your needs.
Call 713-464-6335 to schedule your consultation and learn more about the cost of full mouth dental implants in Houston.
Frequently Asked Questions About the Cost of Full Mouth Dental Implants in Houston
The cost of full mouth dental implants in Houston varies based on the number of arches being treated, the number of implants needed, the type of prosthesis used, and whether additional procedures such as extractions or bone grafting are required.
Full mouth dental implants involve surgery, implant placement, restorative planning, temporary teeth, final prosthetic fabrication, and long-term design considerations. Dentures usually have a lower upfront cost, but they are a different type of treatment with different benefits and limitations.
Yes. Treating one arch is typically less expensive than treating both arches because fewer implants, restorations, and planning steps are involved.
Many patients use financing to help manage the cost of treatment. Available options vary, and our office can discuss payment and financing solutions during your consultation.
For many patients, full mouth dental implants are worth the investment because they can provide greater comfort, improved chewing ability, better stability, and a more secure long-term alternative to removable dentures.
