Contact Houston Dental Implants & Prosthodontics | Memorial City
- 713-464-6335
-
Memorial Hermann Memorial City
Medical Plaza 3
915 Gessner Road, STE. 515
Houston, Texas 77024 - markstankewitz515@gmail.com
If you’re considering All-on-4 dental implants, one of the most important questions you may have is how long they will last. Because this treatment is a significant investment in your health, comfort, and quality of life, understanding longevity is essential when comparing your options.
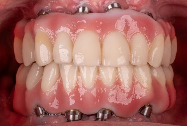
All-on-4 dental implants are designed to provide a long-term, stable solution for full-arch tooth replacement. With proper planning, high-quality materials, and routine care, they can last for many years.

The dental implants themselves — the titanium posts placed in the jawbone — are designed to be long-lasting and may remain stable for decades.
The prosthetic teeth (the bridge attached to the implants) are also built for durability but may require maintenance or replacement over time depending on wear, materials, and individual habits.
Several factors influence the longevity of All-On-4 Dental Implants:
Proper planning and placement are critical for long-term stability. Adequate bone support and precise positioning help ensure the implants integrate successfully.
The type of material used for your final teeth can affect durability. Options vary in strength, aesthetics, and long-term wear characteristics.
Consistent home care and regular professional cleanings play a major role in preserving both the implants and the prosthesis.
Grinding, clenching, or excessive force can impact wear and longevity over time.
General health conditions and lifestyle factors can influence healing and long-term outcomes.
Yes. Like any dental restoration, All-on-4 implants benefit from routine evaluation and maintenance.
Periodic visits allow your provider to:
Traditional dentures typically require more frequent adjustments or replacement over time due to changes in the jaw and ongoing wear. While All-on-4 implants are designed for long-term stability, many patients also compare them directly to traditional dentures when deciding on treatment. You can learn more in our detailed comparison of All-on-4 vs dentures in Houston.
All-on-4 dental implants are designed to provide a more stable and long-term solution, with improved function and reduced movement compared to removable dentures. You can learn more in our detailed comparison of All-on-4 vs dentures in Houston.

For many patients, the implants themselves can remain in place long-term with proper care. The prosthetic teeth may be updated or replaced over time as part of normal maintenance.
A personalized treatment plan and ongoing care are essential to maximizing longevity.
You can support long-term success by:
Schedule your personalized consultation and discover what’s possible.
Schedule Your Consult